0559-2581111 线上商城
华泽健康城
华泽健康城
公众号
华泽健康城
华泽健康城
抖音
华泽健康城
华泽健康城
小红书
华泽健康城
华泽健康城
联系我们
精准医疗再升级!黄山华泽健康城GE3.0TMRI正式启用
华泽健康城
2026.04.01
华泽健康城
华泽健康城
华泽健康城
46
                   

近日,黄山华泽健康城迎来重磅医疗升级—GE3.0TPilot磁共振成像系统(MRI)正式投入使用!这一高端影像设备的落地,不仅填补了区域内高端磁共振诊断的服务空白,更标志着皖南地区医学影像诊断能力迈入无辐射、高清晰、智能化的全新阶段,为黄山及长三角地区居民带来更精准、安全、舒适的健康检查新体验。


华泽健康城致力于构建“医、康、养、游”四位一体的大健康服务生态,此次GE3.0TPilotMRI的引进,与现有的256排CT、超高清内窥镜系统等设备形成高端“利器”矩阵,让精准医疗的硬件支撑更趋完善,为各类疾病的早期筛查、精准诊断提供了强有力的技术保障。


                 
                 
                   

3.0TMRI有多牛?比1.5T更精准,解锁影像诊断新高度


                     

很多人会疑惑,3.0TMRI和常见的1.5T设备有什么区别?简单来说,3.0T中的“T”是磁场强度单位特斯拉,3.0T磁场强度约为地球磁场的6万倍,是目前临床应用中最先进的磁共振场强之一。

相较于传统1.5T设备,3.0TMRI拥有更高的信噪比和图像分辨率,能捕捉到更细微的组织结构和早期病变,再搭配人工智能辅助技术,实现了从“设备智能”到“临床智能”的跨越,让检查更快速、诊断更精准,为疾病的早发现、早治疗争取关键时间。

                   



五大核心优势,重新定义影像检查体验


                     


超高清成像,微小病变无所遁形




3.0T高场强带来的极致成像效果,能清晰显示神经系统、体部脏器、骨关节、心血管等部位的细微病变,无论是早期脑梗塞、微小脑肿瘤,还是肝癌、胰腺癌等恶性肿瘤的早期筛查,亦或是肩袖撕裂、半月板损伤等软组织损伤,都能精准捕捉,让病灶无处隐藏。

无电离辐射,绿色安全更安心




与CT、X光不同,MRI利用强磁场和射频脉冲成像,不产生任何电离辐射,不会损伤DNA或增加致癌风险。尤其适合需要多次复查的患者、儿童青少年等辐射敏感人群,妊娠中晚期孕妇在医生评估后也可进行检查,真正实现绿色安全检查。


超静音+大孔径,告别检查恐惧




传统MRI的巨大噪音和狭小空间,让不少人产生检查恐惧。而GE3.0TPilotMRI采用超静音扫描技术,大幅降低扫描噪声;同时配备70厘米左右的大孔径磁体设计,有效缓解幽闭恐惧感,体格偏胖人群、老年人、儿童都能获得更舒适的检查体验。


功能成像技术,从“看结构”到“查功能”




依托3.0T强磁场,设备可实现多种高端功能成像:发病30分钟即可发现病灶的DWI弥散加权成像、无需造影剂的MRA磁共振血管成像、无创显示胆道系统的MRCP胰胆管成像、辅助鉴别肿瘤良恶性的波谱分析(MRS),从单纯的结构成像升级为功能成像,诊断维度更全面。


                 

适用范围超广泛,这些情况都能查




GE3.0TMRI的适用范围覆盖全身多个部位,为各类疾病诊断提供精准依据,核心检查方向包括:

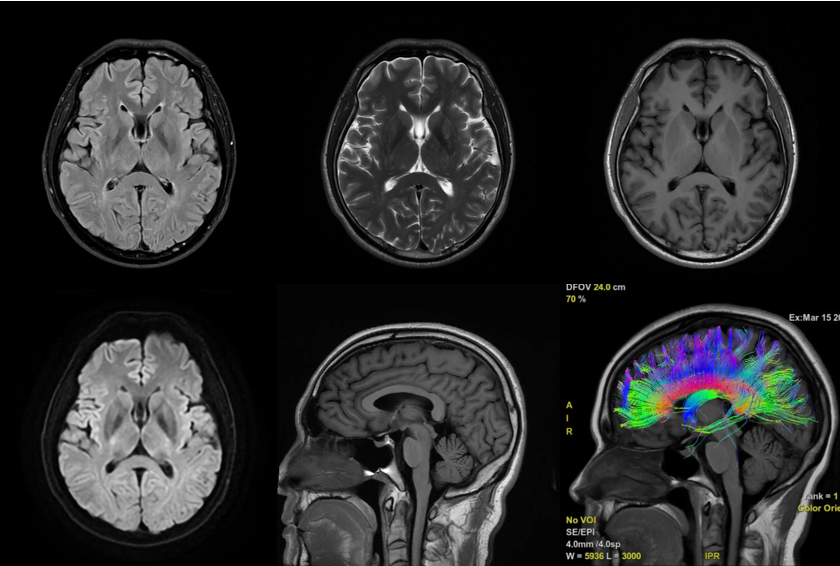
颅脑:脑肿瘤、脑血管病变、癫痫、痴呆、垂体病变等;

                   

颅脑平扫+DTI

骨关节:膝关节半月板/韧带损伤、肩袖撕裂、股骨头坏死等;

                   

膝关节

                   

肩关节

                   

                   

腹部盆腔:肝癌、胰腺癌、子宫肌瘤、前列腺癌、卵巢囊肿等;

                   

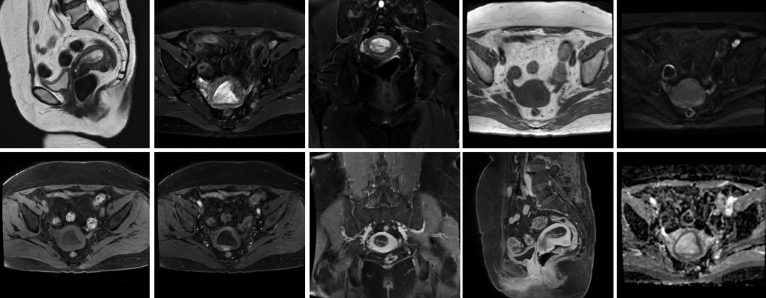
盆 腔

心血管:心肌病、心脏肿瘤、先天性心脏病、大血管病变等;

                   

心血管

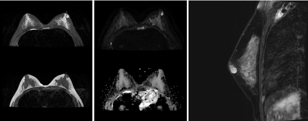
乳腺:乳腺癌筛查、假体评估、保乳术后随访等。

                   

乳腺








重要提醒!这些注意事项一定要看

MRI检查的禁忌症筛查至关重要,为了保障检查安全和结果准确,这些细节务必牢记:

1、绝对禁忌症(严禁检查)

体内有非兼容性心脏起搏器、铁磁性颅内动脉瘤夹、人工耳蜗、眼内金属异物;妊娠早期(前3个月);无法配合的严重幽闭恐惧症患者。

2、检查前必做准备

去除所有金属及电子物品:手机、手表、磁卡、金属饰品、眼镜、假牙等,穿医院专用检查服;

如实告知医生:手术史(尤其是植入心脏支架、人工关节等)、是否怀孕、金属过敏史、肾功能情况;

特殊部位准备:腹部检查空腹4-6小时,盆腔检查适当憋尿,增强扫描需建立静脉通路。

3、体内植入物小科普

不少人担心体内植入物能否做检查,这份常见清单可参考:

2007年后的心脏支架、钛合金人工关节/钢板、铜制宫内节育器、种植牙:通常可做,部分可能产生轻微伪影;

心脏起搏器、人工耳蜗:禁止/不建议检查。

                   

除了顶尖的设备,黄山华泽健康城的核心优势更体现在专业服务与全生态康养体系:

优质资源联动:

依托黄山华泽医院专业医疗支撑,联合合肥平安检测中心、杭州树兰同创实验室等长三角优质资源,共建高端体检平台;

专业团队护航:

经验丰富的影像诊断医师与临床专家联合读片,诊断结果更精准;

中西结合特色:

融合新安医学“治未病”理念,提供体质辨识与个性化调理,不止于检查,更注重健康干预;

全生命周期健康管理:

为客户建立终身健康档案,定制个性化干预方案,实现从检查到康养的一站式服务;

生态康养环境:

依托黄山得天独厚的生态优势,打造“皖南美学生活”康养体验,让就医检查成为舒适的体验。

                   

GE3.0TPilotMRI的正式启用,是黄山华泽健康城践行“精准医疗、智慧康养”理念的重要一步。未来,华泽健康城将继续以高端医疗技术为核心,以优质服务为支撑,为黄山及周边地区居民的健康保驾护航,让重大疾病的早期发现与精准诊断成为常态,用科技守护每一份健康!


温馨提示:MRI检查需由专业医师评估后进行,检查前请务必如实告知病史及体内植入物情况,如需预约可前往黄山华泽健康城咨询办理。

               


>